Olá Araras Azuis! Hoje eu trago para vocês uma pesquisa acadêmica escrita pela médica veterinária Karina de Oliveira Araújo em julho de 2018, revisada pela orientadora Prof.ª Dr.ª Cátia Dejuste de Paula. Na época, essa moça ainda era estudante; atualmente, ela é formada. Bem, este artigo fala sobre as principais neoplasias em psitacídeos e o tratamento delas. É uma pesquisa bem interessante para se ler e estudar. Como estudante de medicina veterinária, eu amo ficar lendo essas coisas, sabe? Estudar me dá prazer e é tipo um hobby para mim.
Introdução
Neoplasias são descritas como lesões caracterizadas pela proliferação celular anormal, descontrolada, progressiva e autônoma, que podem ocorrer em qualquer tecido ou órgão (LATIMER, 1994; HORTA et al., 2013; GRESPAN & RASO, 2014). Porém sua autonomia não é total, pois dependem do organismo em que se instalam para sua nutrição (KUMAR et al., 1994, citado por SINHORINI, 2008). Geralmente, as neoplasias possuem perda ou redução de diferenciação, por conta das alterações na diferenciação e multiplicação das células. O sufixo “-oma” designa neoplasia benigna, com algumas exceções como linfoma e melanoma; os termos carcinoma e sarcoma indicam, respectivamente, neoplasia maligna epitelial e neoplasia maligna mesenquimal. Para a diferenciação de neoplasias benignas e malignas são considerados: o grau de diferenciação e anaplasia, a velocidade de crescimento, invasão local e metástase (HORTA et al., 2013). As neoplasias benignas normalmente possuem células bem diferenciadas, semelhantes a células normais, baixo índice mitótico, crescimento lento, não recidivam após remoção cirúrgica, não infiltram ou desenvolvem metástase em locais distantes, e não há degenerações, necroses, hemorragias e ulcerações associadas. Já as malignas são, comumente, pouco delimitadas, têm alto índice mitótico, crescimento rápido, muitas vezes infiltram em tecidos adjacentes, e criam metástase em tecidos próximos e distantes, degenerações, necroses, hemorragias e ulcerações; as células são mais volumosas do que o normal e podem variar de bem diferenciadas a completamente indiferenciadas, dando a característica anaplásica à neoplasia (HORTA et al., 2013). Em aves, as neoplasias se assemelham às apresentadas por outros animais de companhia, por sua classificação e localização (GRESPAN & RASO, 2014). A maior parte dos relatos de ocorrência, características macroscópicas e microscópicas de neoplasias em aves foram realizadas com aves domésticas, especialmente as de produção (LATIMER, 1994). Aves de cativeiro, quando comparadas às de vida livre, apresentam um maior número de neoplasias diagnosticadas. Tal fato pode se dar por serem melhor observadas quanto ao aparecimento de processos patológicos, possuírem maior predisposição genética devido à alta chance de cruzamentos consanguíneos e também por tenderem a viver mais do que aves em vida livre (LATIMER, 1994; SINHORINI, 2008; GRESPAN & RASO, 2014).Dentre os casos de neoplasias encontrados em aves silvestres e domésticas, a maior parte foi descrita na ordem Psittaciformes (RATCLIFFE, 1933; LOMBARD & WITTE, 1959; REECE, 1992; SINHORINI, 2008). GARNER (2006) descreve 220 casos de neoplasia em 3545 Psittaciformes estudados, com 6,2% de prevalência. CASTRO et al. (2013), em estudo retrospectivo de afecções cirúrgicas em aves, observaram 30,15% de taxa de ocorrência de neoplasias dentre as cirurgias realizadas em tecidos moles, sendo que a ocorrência de neoplasias se deu exclusivamente em exemplares Psittaciformes. As neoplasias aviárias mais comumente relatadas são as de sistema tegumentar, variando de 12% a 70% da ocorrência nos relatos, destas as mais frequentes são lipoma e fibrossarcoma (LATIMER, 1994). REAVILL (2004) considera fibroma e fibrossarcoma comuns em aves (ao redor da cera e bico e em asas e pernas), lipoma e lipossarcoma comuns em periquitos-australianos, cacatuas, papagaios do gênero Amazona e calopsitas, e carcinoma de células escamosas em papagaios e periquitos-australianos. SINHORINI (2008) observou alta ocorrência de neoplasias em pele e subcutâneo, especialmente lipomas em subcutâneo de papagaios (32,4% dos casos de neoplasias). Na família Psittacidae, foram encontradas as porcentagens de 5,88% e 5,4% de neoplasias nos estudos feitos por CARVALHO (2004) e GODOY et al. (2009), respectivamente. Esses autores também encontraram a maior parte dos processos neoplásicos em Amazona aestiva (papagaio-verdadeiro), apesar de a espécie Melopsittacus undulatus (periquito-australiano) ser considerada a com maior ocorrência de neoplasias entre os psitacídeos (RATCLIFFE, 1933; LOMBARD & WITTE, 1959; LATIMER, 1994; SINHORINI, 2008). Estudos e relatos de psitacídeos incluem diversas neoplasias, sendo lipoma, fibrossarcoma, papiloma, hemangioma e hemangiossarcoma, colangiocarcinoma, linfoma e carcinoma as mais comumente encontradas (LATIMER, 1994). GODOY et al. (2009) relataram a ocorrência de colangiocarcinoma, colangioma, linfoma, hemangiossarcoma e carcinoma renal primário em sete psitacídeos, sendo que três deles apresentaram colangiocarcinoma. CARVALHO (2004) observou três animais com hepatocarcinoma, um com fibroma cutâneo e um com seminoma, demonstrando a possibilidade de variações na ocorrência de neoplasias nesses animais. Relatos de casos neoplásicos em papagaios-verdadeiros (Amazona aestiva) foram os mais encontrados. ELANGBAM & PANCIERA (1988) descreveram um caso de colangiocarcinoma, ARAÚJO et al. (2007) um caso de rabdomiossarcoma alveolar, CAMARGO FILHO et al. (2016) um caso de melanoma em úvea anterior e PACHALY et al. (2016) um caso de neurofribrossarcoma. Em araras foram relatados casos de neoplasia de células gingantes em osso e sarcoma em tecido mole da asa por AMANN et al. (2007) e BRAGA JUNIOR et al. (2016), respectivamente. FREITAS et al. (2014) descreveram a ocorrência de carcinoma de células basais em periquitoaustraliano e WEISSENGRUBER & LOUPAL (1999) relataram um caso de osteocondroma na parede traqueal de um Agapornis fischeri (agapornis).
1 Lipoma
Lipomas são neoplasias benignas caracterizadas pela proliferação de adipócitos bem diferenciados, de crescimento progressivo variando de lento a rápido. Frequentemente ocorrem nos tecidos subcutâneos do esterno (ao longo da quilha), asas, pernas e região abdominal, mas podem se desenvolver em qualquer parte do corpo, inclusive na cavidade celomática, onde se originam da gordura intratorácica e mesentérica. Podem ser únicos ou múltiplos, de coloração amarelada facilmente visível pela pele e, à palpação, são usualmente bem definidos (encapsulados), macios e não aderidos à pele (TURREL et al., 1987; LATIMER, 1994; GRESPAN & RASO, 2014). Lipomas são os tumores benignos mais comuns em psitacídeos, com incidência relatada de 10% a 40% em Melopsittacus undulatus e menor frequência em papagaios do gênero Amazona. Idade avançada, dietas de alto valor energético e obesidade são fatores predisponentes para o aparecimento dessas neoplasias. Massas muito grandes podem afetar a locomoção, voo e capacidade de empoleirar (TURREL et al., 1987; LATIMER, 1994; LIGHTFOOT, 2006; GRESPAN & RASO, 2014). Os lipossarcomas, formas malignas dos lipomas, são raros em psitacídeos. Já os xantomas são frequentemente reportados em psitacídeos, mas não são considerados neoplasias verdadeiras, são intumescências inflamatórias resultantes do acúmulo de macrófagos com lipídeos em seu interior, células gigantes e colesterol livre na pele, e podem estar associados a lipomas (TURREL et al., 1987; LATIMER, 1994; GRESPAN & RASO, 2014).
2. Papiloma
Papilomas cutâneos são neoplasias benignas importantes, acredita-se que induzidas por vírus do epitélio de aves de companhia. Papovavirus, Herpesvirus e Papillomavirus foram identificados por meio de microscopia eletrônica causando essas lesões. Duas síndromes clínicas diferentes foram identificadas; uma com partículas virais semelhantes às do Papovavirus e do Herpesvirus identificadas em papilomas pequenos, duros, brancos a acinzentados nos pés de araras, e a segunda manifestação clínica foi observada em Psittacus erithacus (papagaio-do-congo), com lesões proliferativas na face, ao redor das pálpebras e comissuras do bico, e foram associadas a vírus semelhante ao Papillomavirus. Também são comuns massas no trato digestório, principalmente em coana e cloaca (TURREL et al., 1987; GRESPAN & RASO, 2014).3. Fibrossarcoma
É o tumor maligno mais frequente em aves de estimação, surge dos fibroblastos e de outras células mesenquimais que produzem colágeno. Apresenta-se como massa firme branca a acinzentada, que muitas vezes infiltra em tecidos adjacentes, possui bordas irregulares e é frequentemente aderida à pele e ulcerada; pode induzir à hemorragia e infecção bacteriana secundária; metátases variam em 5% a 15% de chance de ocorrência (TURREL et al., 1987; LATIMER, 1994; REAVILL, 2004). Tecidos moles das asas, pernas e ao redor da cera e bico são comumente afetados, porém podem ocorrer em todo o corpo, assim como vísceras. Existem sarcomas indiferenciados que podem ser difíceis de classificar quanto ao tecido de origem. Sarcomas e fibrossarcomas são comuns em periquitos-australianos, araras e papagaios (TURREL et al., 1987; LATIMER, 1994; REAVILL, 2004; LIGHTFOOT, 2006). PACHALY et al. (2016) relataram um caso de neurofibrossarcoma em região cervical submandibular de um papagaioverdadeiro e BRAGA JUNIOR et al. (2016) relataram um caso de sarcoma em tecido mole da asa de uma arara canindé.
4. Hemangioma e hemangiossarcoma
Hemangiomas são neoplasias benignas do endotélio vascular com formação de canais vasculares irregulares e espaços preenchidos por sangue. Podem ser externos ou internos, porém ocorrem com mais frequência em pele dos pés, pescoço, asas, cloaca e região inguinal e no baço. Macroscopicamente apresentam-se como lesões macias, de coloração avermelhada a púrpura ou negra e planas; quando sujeitas a traumas podem sangrar profusamente. Hemangiomas parecem ocorrer mais comumente que os hemangiossarcomas em aves, sendo essa segunda forma a versão maligna do hemangioma. Pés, pernas, asas, bico e cloaca são locais comuns de hemangiossarcomas cutâneos, que são invasivos localmente e podem provocar metástases em locais distantes, incluindo pulmões, fígado e miocárdio (LATIMER, 1994; REAVILL, 2004; LIGHTFOOT, 2006; SINHORINI, 2008).
.5. Colangiocarcinoma
É uma neoplasia maligna originária do epitélio dos ductos biliares, tem característica agressiva, localmente invasiva e foi relatada como capaz de desenvolver metástases. É o tumor hepático mais frequentemente encontrado em aves mantidas em cativeiro, sendo reportado por ELANGBAM & PANCIERA (1988) e GODOY et al. (2009) em Amazona aestiva. Sinais clínicos específicos não são frequentes, porém podem ser observados emagrecimento, fraqueza, ataxia, hepatomegalia, tremores e convulsões, sendo que geralmente as aves apresentam sinais agudos ou são encontradas mortas. Na avaliação macroscópica o fígado pode estar aumentado e com nódulos firmes, de tamanhos variados e coloração esbranquiçada a amarronzada distribuídos pelo parênquima (ELANGBAM & PANCIERA, 1988; LATIMER, 1994; REAVILL, 2004; SINHORINI, 2008; GODOY et al., 2009).
6. Linfoma
Neoplasia maligna originária de tecido linfoide periférico, comumente apresenta-se como como uma doença multissistêmica disseminada, caracterizada pelo desenvolvimento de massas de tecido branco-amarelado ou de características sarcomatosas, envolvendo todos os tecidos e órgãos do corpo, inclusive a medula óssea. As vísceras mais frequentemente acometidas são fígado, baço e rins, e a manifestação em locais isolados é rara, mas pode ocorrer na pele. É uma das neoplasias linfoides mais comuns de serem encontradas em aves. Um sinal clínico comumente associado ao linfoma com massa retrobulbar é a exoftalmia, pois existem agregados linfoides nesta região (LATIMER, 1994; REAVILL, 2004; LIGHTFOOT, 2006; GODOY et al., 2009).
7. Carcinoma de células escamosas
O carcinoma de células escamosas é uma neoplasia maligna das células epiteliais escamosas, mais comum em calopsitas e psitacídeos como papagaios, periquito-australiano, agapornis e arara. Já foi descrita na pele da cabeça, pálpebras, peito, pescoço, asas, glândula uropigiana e ao redor do bico e no trato digestório superior (bico, cavidade oral, esôfago, inglúvio e proventrículo); todos estes são considerados sítios primários de ocorrência do carcinoma de células escamosas (TURREL et al., 1987). REAVILL (2004) afirma que existe uma tendência do desenvolvimento dessa neoplasia em locais de irritação crônica. O tumor é geralmente mal definido e muitas vezes aparece como uma ferida não cicatrizante, consiste em lesões crostosas e ulceradas; também pode apresentar-se como múltiplas massas elevadas com depressão ou ulceração central. É uma neoplasia muito invasiva, porém metástases distantes do foco primário são raras (TURREL et al., 1987; GRESPAN & RASO, 2014). Em geral, carcinomas em órgãos internos também são relativamente comuns e descritos com certa frequência em psitacídeos, alguns exemplos são carcinomas renais, gástricos, esplênicos, neoplasias em ovário e adenocarcinomas em fígado, ductos biliares e pâncreas (TURREL et al., 1987; LATIMER, 1994; REAVILL, 2004; LIGHTFOOT, 2006; SINHORINI, 2008; GRESPAN & RASO, 2014). GODOY et al. (2009) demonstram a ocorrência de carcinoma renal primário em um periquito-australiano e FREITAS et al. (2014) relataram um carcinoma raro de ser encontrado em aves, o carcinoma de células basais na pele da asa de um periquito-australiano.
Diagnóstico
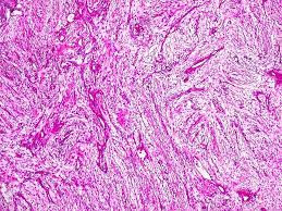
O histórico e a anamnese completos do paciente são de extrema importância para a seleção adequada de exames diagnósticos e tratamentos a serem estabelecidos. Também é fundamental o exame físico da ave, palpação cuidadosa da neoplasia para verificar sua consistência (firme, macia ou flutuante) e se há aderências a outros tecidos, mensuração da massa em três dimensões e registro da sua localização exata. Um exame neurológico que inclua a avaliação dos padrões de marcha e de voo pode auxiliar no diagnóstico de lesões no sistema nervoso central ou periférico (TURREL et al., 1987). Lipomas geralmente são facilmente reconhecidos por veterinários experientes apenas por sua consistência, aparência macroscópica e história clínica com conhecimento de dieta inadequada do animal (GARNER, 2006). Exames auxiliares como hemograma, bioquímico e radiografias auxiliam na determinação da conduta clínica a ser adotada. O hemograma pode apontar alterações no número de hemácias e leucócitos, como anemia, leucopenia e leucocitose, presença de células tóxicas ou degeneradas. Detecção de linfocitose e observação de números variáveis de linfócitos imaturos (neoplásicos) no hemograma pode auxiliar no diagnóstico de neoplasias linfoides (LATIMER, 1994). Enzimas séricas elevadas podem ser úteis na identificação de neoplasias internas ou doença metastática. E quando os tumores se originam ou são adjacentes a ossos, radiografias da área são indicadas, para determinação da localização e grau de comprometimento ósseo e dos tecidos moles. Em casos suspeitos de neoplasias malignas, radiografias de corpo inteiro devem ser feitas para detecção de metástases antes de selecionar e iniciar tratamentos (TURREL et al., 1987). Todos os tumores devem ser citologicamente ou histologicamente examinados antes do tratamento, para que a quantidade máxima de informação esteja disponível ao tomar uma decisão terapêutica. O exame de citologia por meio de Punção Aspirativa por Agulha Fina (PAAF) ou imprint de tumores ulcerados ajuda a diferenciar massas neoplásicas de não neoplásicas e neoplasias benignas de malignas. A biópsia excisional (retirada de todo o tumor) com margens de tecido normais é ideal, pois além de diminuir a probabilidade de recidiva da neoplasia fornece tecido normal suficiente para histopatologia 13 comparativa. Biópsia incisional e punção com agulha fina podem ser feitas em casos de tumores muito grandes, invasivos e internos (TURREL et al., 1987). Algumas coletas de amostras neoplásicas podem levar a resultados errados ou inconclusivos. Como no caso de lipomas, muitas vezes não é possível distinguir lipomas e lipossarcomas de maneira fácil com citologia aspirativa, sendo o diagnóstico definitivo feito por meio da extração cirúrgica total (GRESPAN & RASO, 2014). Após a exérese, a neoplasia ou a parte retirada deve ser imediatamente acondicionada em recipientes grandes o suficiente para sua acomodação, com volume de fixador histológico cerca de 10 a 20 vezes maior do que o diâmetro do material, para que ocorra fixação adequada. O fixador mais utilizado é a solução de formol tamponado a 10%. A coloração por hematoxilina e eosina é utilizada para avaliação histopatológica, e então observa-se características de malignidade (delimitação da neoplasia, status de diferenciação, anisocitose e anisocariose, índice mitótico) e origem do tecido neoplásico (HORTA et al., 2013). Se não for possível a determinação da origem da neoplasia por meio da histologia, como em tumores indiferenciados, se faz necessária a realização de imunoistoquímica. Vimentina, citoqueratina AE1/AE3, CD68 e 1A4 são exemplos de marcadores imunoistoquímicos de células mesenquimais, células epiteliais, macrófagos e células musculares lisas, respectivamente (GODOY et al., 2009; HORTA et al., 2013).
Tratamento e prognóstico
Em aves, o tratamento de neoplasias é pouco documentado. A maior parte dos relatos de protocolos de tratamento é anedótica ou envolve apenas um paciente, assim como muitos não são publicados. Frequentemente o tratamento é baseado no de outras espécies domésticas, em geral, a excisão cirúrgica é recomendada em casos de tumores sólidos, enquanto os processos neoplásicos sistêmicos (linfoma sistêmico, condições metastáticas) são tratados de maneira mais eficaz com o uso de quimioterapia sistêmica (LIGHTFOOT, 2006). O objetivo do tratamento é erradicar completamente a neoplasia, garantindo a função normal do órgão ou tecido. O tipo, localização e grau de infiltração do tumor, além da condição física da ave, são fatores que influenciam na escolha do tratamento. A extração cirúrgica ampla é a opção mais adequada para a maioria das neoplasias benignas e malignas de tamanho pequeno. Recomenda-se a retirada de pelo menos 0,5 cm de tecido normal além da margem palpável do tumor, porém o tamanho do paciente e a localização da neoplasia podem limitar o grau de ressecção cirúrgica (TURREL et al., 1987). A amputação pode ser utilizada em casos de neoplasias muito invasivas, infiltradas e grandes em membros (SINHORINI, 2008). Em todos os procedimentos cirúrgicos, biopsiais e punções é de extrema preocupação a hemostasia, pois os tumores normalmente são muito vascularizados e podem causar hemorragias profusas (HORTA et al., 2013). TURREL et al. (1987) descrevem a criocirurgia e a hipertermia como métodos alternativos utilizando a temperatura local para causar necrose e destruição de tecidos anormais. As indicações para o uso da criocirurgia são pequenos tumores dérmicos, orais e cloacais e citorredução de neoplasias grandes. Contudo, relatos com estas técnicas não são comuns em aves. A radioterapia é eficaz em neoplasias superficiais (menos de 3 mm de espessura), que podem ser tratadas com partículas de estrôncio-90, irídio-192 e iodo-125 selados em cápsulas de aço, para irradiação pós-operatória e implantados cirurgicamente em tumores superficiais ou profundos para concentrar a radiação no tecido tumoral (TURREL et al., 1987). LIGHTFOOT (2006) afirma que em casos onde a exérese total da neoplasia é difícil ou não é possível, podem ser utilizadas as formas alternativas de terapia local, incluindo radiação de feixe externo (cobalto 60 ou acelerador linear), terapia fotodinâmica, crioterapia e aplicadores de radiação manual. Para neoplasias disseminadas, como neoplasias linfoides ou tumores com metástase, é indicada a quimioterapia. Alguns agentes quimioterápicos são a ciclofosfamida, lomustina, antiinflamatórios esteroidais (prednisona e prednisolona), vincristina, doxorrubicina, cisplatina, carboplatina e L-asparaginase 15 (LIGHTFOOT, 2006). Porém a maioria dos quimioterápicos não é testada em aves, assim como não há protocolos de tratamento apropriados e toxicidades limitantes de dose bem definidos. Segundo TURREL et al. (1987), antiinflamatórios esteroidais foram utilizados para reduzir o volume de neoplasias como leucose linfoide e do linfossarcoma em aves, e existem relatos anedotais de sua utilização e eficácia. Algumas neoplasias foram relatadas com tratamentos eficazes. O lipoma pode regredir e tornar-se autolimitante com tratamento de obesidade em psitacídeos, evitando cirurgias (GILL, 2001, citado por GRESPAN & RASO, 2014; REAVILL, 2004). Tratamentos com remoção cirúrgica associada à quimioterapia com cisplatina ou carboplatina foram realizados em casos de adenocarcinomas ovariano e renal e colangiocarcinoma (LIGHTFOOT, 2006). ARAÚJO et al. (2007), BRAGA JUNIOR et al. (2016), PACHALY et al. (2016) e CAMARGO FILHO et al. (2016) realizaram excisões cirúrgicas de rabdomiossarcoma, sarcoma, neurofribrossarcoma e melanoma, respectivamente, em aves e obtiveram êxito, sem recidivas e sem necessidade tratamentos adicionais. Assim como as terapias, os prognósticos de neoplasias específicas são ainda limitados na área de medicina veterinária de aves. Fibrossarcomas, por exemplo, que são localmente invasivos, raramente desenvolvem metástases e têm potencial de recidiva moderado a alto, são considerados de prognóstico reservado, e os lipomas e mielolipomas com bom prognóstico quando realizada a excisão cirúrgica (REAVILL, 2004). LATIMER (1994) classifica as neoplasias do sistema nervoso central com prognóstico ruim.
PARA LER A PESQUISA ORIGINAL E O RELATO DE CASO DE UM PAPAGAIO COM NEOPLASIA CLIQUE AQUI
.jpeg)
.jpeg)
.jpeg)
.jpeg)
.jpeg)



Nenhum comentário:
Postar um comentário